Impactul cancerului de colon asupra tinerilor
Cancerul de colon, odată asociat în principal cu îmbătrânirea, afectează din ce în ce mai mult tinerii. Deși rata de îmbolnăvire a scăzut la persoanele de peste 60 de ani, aceasta a crescut alarmant în rândul celor sub 50 de ani în multe țări dezvoltate. Conform datelor, numărul cazurilor a crescut de la aproximativ 94.700 în 1990 la 225.736 în 2019, conform prof. Devi Sridhar, președintele departamentului de sănătate publică de la Universitatea din Edinburgh.
Un studiu realizat în Europa a arătat o creștere anuală a incidenței cancerului colorectal cu 7,9% pentru persoanele între 20 și 29 de ani, 4,9% pentru cei între 30 și 39 de ani și 1,6% pentru cei între 40 și 49 de ani, în perioada 2004-2016. Proiecțiile sugerează că numărul cazurilor de cancer colorectal cu debut precoce s-ar putea dubla la fiecare 15 ani în Australia, Canada, Marea Britanie și SUA.
Cauzele creșterii incidenței
În timp ce genetica este adesea exclusă ca factor principal, cu 75% din cazuri apărând la persoane fără antecedente familiale sau predispoziție genetică cunoscută, cercetătorii au început să examineze factorii de mediu. Unul dintre cei mai relevanți vinovați identificați este consumul de alimente ultraprocesate. O analiză din 2025 publicată în Nature Reviews Endocrinology evidențiază legăturile dintre aceste alimente și creșterea incidenței cancerului.
Alimentele ultraprocesate, cum ar fi cerealele cu conținut ridicat de zahăr, semi-preparatele, băuturile răcoritoare, carnea procesată și produsele de tip fast-food, constituie mai mult de jumătate din dieta medie în țări precum Marea Britanie și SUA. Un studiu major publicat în British Medical Journal a analizat trei grupuri mari din SUA, constând în peste 46.000 de bărbați urmăriți timp de 24 până la 28 de ani. Rezultatele au arătat că riscul de cancer colorectal era cu 29% mai mare pentru cei care consumau cele mai multe alimente ultraprocesate comparativ cu cei care consumau cele mai puține.
Legătura dintre alimentele ultraprocesate și cancer
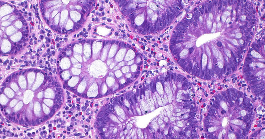
Deși unele studii au asociat alimentele ultraprocesate cu obezitatea, un factor de risc major pentru numeroase tipuri de cancer, cercetările sugerează că riscul de cancer colorectal poate crește chiar și la persoanele cu greutate normală. Dietele bogate în alimente ultraprocesate au fost legate de perturbări ale insulinei, inflamație cronică și modificări ale microbiomului intestinal, toate fiind mecanisme implicate în dezvoltarea cancerului.
Studiile pe animale au demonstrat că emulgatorii, aditivii și îndulcitorii artificiali din alimentele ultraprocesate pot provoca inflamație intestinală și dezvoltarea tumorilor. De asemenea, absența fibrelor și a fitochimicalelor protectoare din aceste alimente poate afecta microbiomul intestinal, esențial pentru funcționarea optimă a organismului.
